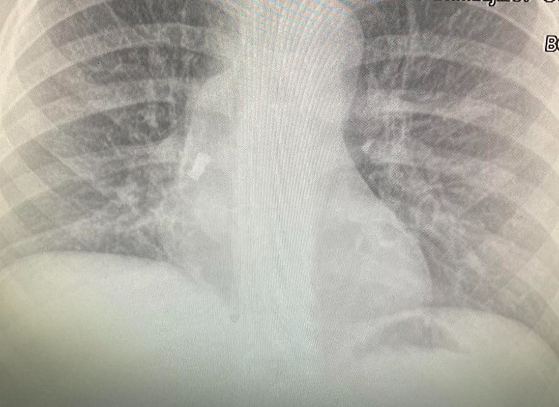
Л екари в Бургас спасиха дете със заседнал в трахеята млечен зъб. Петокласникът е прекарал 2 дни в реанимация, но вече е добре и е изписан за домашно лечение. Случаят е много рядък, тъй като момчето е живяло така близо две седмици. Майката е разказала, че зъбът е паднал по време на сън и детето го е глътнало. Родителите се усъмнили, че нещо не е наред, едва след като момчето започва да вдига температура. Лекували го с антибиотици, но тя не спадала. Личният лекар назначил рентгеново изследване и на снимката се видял зъбът. От него се е развила инфекция на дихателните пътища, което обяснява повишената температура.

Момчето е прието по спешност в отделението по УНГ в УМБАЛ Бургас. Операцията е извършена почти веднага от УНГ-специалистите доц. д-р Даниел Петков, д-р Ивайло Илиев и анестезиолога д-р Антон Григоров.
„Трябваше да се действа бързо, защото имаше реален риск от фатален край. Зъбът можеше да запуши дихателните пътища, да доведе до невъзможност да си поеме въздух", разказа д-р Цветелина Григорова от Клиниката по УНГ болести.

Операцията изисква майсторство и поставя на голямо изпитание целия екип. Дори специален инструмент трудно захваща хлъзгавия зъб. Още повече, че това се случва през тръбата, с която детето е интубирано и тя трябва да се извади и постави наново няколко пъти. Операцията травмира трахеята, гласните връзки и дихателните пътища, затова се налага престой в реанимация. Впоследствие от травматичните увреди се развива и пневмония, която вече е овладяна.
„Благодарна съм на всички лекари в УМБАЛ Бургас, които спасиха сина ми. Имаме прекрасни специалисти, които за съжаление работят при трудни условия. Нямам думи да им благодаря, а на всички бургазлии искам да кажа, че трябва да ценим факта, че имаме къде да получим адекватна спешна и животоспасяваща помощ", сподели майката на детето Елка Далчева.



















