Trichinella spiralis е паразит, който заразява свине, често други месоядни животни и хора. Паразитите обикновено се поглъщат чрез консумация на заразено месо.
                                      
   
   
Групи
Всички сме чували за инциденти, при които големи групи от хора са се разболели след консумация на свинско месо.
Най-рисков период за заразяване е времето, когато настъпи период на масовата консумация на домашно приготвени суджуци, луканки, наденици и недобре термично обработено месо. Заболяването се среща често в райони, в които се практикува лов на диви свине.
                                      
   
   
                                      
   
   
Дивата свиня (Sus scrofa) представлява резервоар на тази паразитоза, консумацията на месо от диви свине е сред най-рисковите. Може ли домашна свиня да ни зарази с трихинела? Да, може. Особено ако домашното прасе има свободен достъп до поляни и гризачи.
                                      
   
   
Свинете са всеядни и консумират месо от мъртви животни, които могат да намерят извън стопанския двор или да изядат гризач. Затова домашно отгледаните прасета също подлежат на изследване за трихинелоза.
Симптоматика
Симптоматиката започва от няколко дни до месец след заразяване и протича със стомашно-чревни разстройства и повръщане.
                                      
   
   
Болните хора поддържат висока температура. Наблюдават се отоци по лицето, мускулни болки при преглъщане и дъвкане.
Болка при движение на очите, дишане, ходене. Хората са отпаднали. При по-тежко протичане може да бъде засегнато и сърцето.
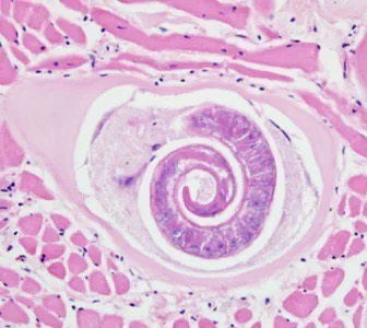
Трихинелите се намират между мускулните влакна.
                                      
   
   
Откриването на паразитите става чрез трихинелоскопиране на парченца месо, взети от диафрагмата, езика, дъвкателната и междуребрената мускулатура на животните.
Изследването се извършва от ветеринарномедицинските служби.
*Автор: Д-р Йоан Славчев



















